CMOS камеры ToupCam серии MTR3CMOS с охлаждением

Эффективные и быстрые камеры для микроскопов с активным электронным охлаждением пользуются большой популярностью, когда заходит речь о детекции флуоресцентного сигнала. Особенно хорошо такие камеры проявляют себя при длительных экспериментах или при слабом излучении препарата.
Описание камер серии:
Подключение камеры стандартное - C-Mount;
Установлены сенсоры SONY Exmor CMOS с разрешением от 1,7 до 45 Мп;
Двухступенчатый элемент термоэлектронного охлаждения (элемент Пельте) с управляемым электрокулером;
Охлаждение чипа матрицы до 42°C ниже температуры окружающей среды;
Рабочая температура может быть отрегулирована до заданного значения за 5 минут;
Конструкция, обеспечивающая эффективный отвод тепла;
Окошко покрыто фильтром IR-CUT/AR для защиты матрицы от инфракрасного излучения;
Время экспозиции до 1 часа;
Интерфейс USB 3.0 со скоростью передачи данных 5 Гбит/с, обеспечивающий поток данных на ПК;
Цветовой процессор Ultra-FineTM с потрясающей цветопередачей;
Бесплатное приложение для обработки видео и изображений ToupView;
Поддержка режимов видео и триггера;
SDK для нескольких платформ Windows/Linux/macOS/Android;
Монохромные и цветные решения;
Камеры для: светлого поля, фазового контраста, темного поля, DIC, флуоресценции.
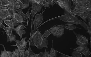
Примеры фото на MTR3CMOS (монохромное изображение по трём каналам и сшивка):




Модели камер ToupCam серии MTR3CMOS:
Код модели (KM - монохромная, KP - цветная) | Сенсор и размеры (мм) | Размер пикселя (мкм) | Кадры в секунду/разрешение | Биннинг | Экспозиция |
MTR3CMOS45000KMA MTRM145000A(2020) | 45 Мп / IMX492(M) 4/3" (19.11x13.00) | 2.315x2.315 | 8 / 8256x5616 31 / 4128x2808 | 1x1 2x2 | 0.1 мс ~ 3600 с |
MTR3CMOS26000KPA MTRP126000A | 26 Мп / IMX571(C) 1.8" (23.48x15.67) APS-C | 3.76x3.76 | 6.8 / 6224x4168(16bit) 14 / 6224x4168 37 / 3104x2084 110 / 2064x1386 | 1x1 1x1 2x2 3x3 | 0.1 мс ~ 3600 с |
MTR3CMOS26000KMA MTRM126000A | 26 Мп / IMX571(M) 1.8" (23.48x15.67) APS-C | 3.76x3.76 | 6.8 / 6224x4168(16bit) 14 / 6224x4168 37 / 3104x2084 110 / 2064x1386 | 1x1 1x1 2x2 3x3 | 0.1 мс ~ 3600 с |
MTR3CMOS21000KPA MTRP121000A | 21 Мп / IMX269(C) 4/3" (17.4x13.1) | 3.3x3.3 | 5 / 5280x3956 6 / 3952x3952 15 / 2640x1978 50 / 1760x1318 100 / 584x440 | 1x1 2x2 3x3 9x9 | 0.1 мс ~ 3600 с |
MTR3CMOS20000KPA MTRP120000A | 20 Мп / IMX183(C) 1" (13.056x8.755) | 2.4x2.4 | 5 / 5440x3648 10 / 4096x2160 15 / 2736x1824 30 / 1824x1216 | 1x1 2x2 3x3 | 0.1 мс ~ 3600 с |
MTR3CMOS20000KMA MTRM120000A | 20 Мп / IMX183(M) 1" (13.056x8.755) | 2.4x2.4 | 17.8 / 5440x3648 41 / 4096x2160 51 / 2736x1824 64 / 1824x1216 | 1x1 2x2 3x3 | 0.1 мс ~ 3600 с |
MTR3CMOS16000KPA MTRP116000A | 16 Мп / MN34230PLJ(C) 4/3" (17.6x13.3) | 3.8x3.8 | 6 / 4640x3506 20 / 2304x1750 48.0 / 1536x1160 | 1x1 2x2 3x3 | 0.15 мс ~ 3600 с |
MTR3CMOS16000KMA MTRM116000A | 16 Мп / MN34230ALJ(M) 4/3" (17.6x13.3) | 3.8x3.8 | 22.5 / 4648x3506 43.0 / 2304x1750 48.0 / 1536x1168 | 1x1 2x2 3x3 | 0.15 мс ~ 3600 с |
MTR3CMOS10300KPA MTRP110300A | 10.3 Мп / IMX294(C) 4/3" (19.11x13.0) | 4.63x4.63 | 30.2 / 4128x2808 38.5 / 4096x2160 69.5 / 2048x1080 96.1 / 1360x720 | 1x1 2x2 3x3 | 0.15 мс ~ 3600 с |
MTR3CMOS10300KMA MTRM110300A(2021) | 10.3 Мп / IMX492(M) 4/3" (19.11x13.0) | 4.63x4.63 | 33.3 / 4128x2808 8.0 / 8184x5616 69.5 / 2048x1080 96.2 / 1360x720 | 1x1 Quad 2x2 3x3 | 0.15 мс ~ 3600 с |
MTR3CMOS09000KPA MTRP109000A | 9 Мп / IMX533(C) 1" (11.28x11.28) | 3.76x3.76 | 20 / 2992x3000(14bit) 40 / 2992x3000 62 / 1488x1500 186 / 992x998 | 1x1 2x2 3x3 | 0.1 мс ~ 3600 с |
MTR3CMOS08300KPA MTRP108300A | 8.3 Мп / IMX485(C) 1/1.2" (11.14x6.26) | 2.9x2.9 | 43 / 3840x2160 66 / 1920x1080 | 1x1 2x2 | 0.1 мс ~ 3600 с |
MTR3CMOS07100KPA MTRP107100A | 7.0 Мп / IMX428(C,GS) 1.1" (14.4x9.9) | 4.5x4.5 | 12 / 3200x2200 33 / 1600x1100 | 1x1 | 0.1 мс ~ 3600 с |
MTR3CMOS07100KMA MTRM107100A | 7.0 Мп / IMX428(M,GS) 1.1" (14.4x9.9) | 4.5x4.5 | 51 / 3200x2200 133 / 1600x1100 | 1x1 | 0.1 мс ~ 3600 с |
MTR3CMOS01700KPA MTRP101700A | 1.7 Мп / IMX432(C,GS) 1.1" (14.4x9.9) | 9.0x9.0 | 33 / 1600x1100 | 1x1 | 0.1 мс ~ 3600 с |
MTR3CMOS01700KMA MTRM101700A | 1.7 Мп / IMX432(M,GS) 1.1" (14.4x9.9) | 9.0 x9.0 | 94 / 1600x1100 | 1x1 | 0.1 мс ~ 3600 с |
У нас Вы можете купить камеры для микроскопов ToupCam или обратиться для консультации по любому вопросу, связанному с камерами ToupCam.
Производитель
ToupTek